坐车时突然眼前一黑,是太累了还是心脏在“求救”?|一场“晕厥”的迷雾
2026-03-02
对于忙碌的现代人来说,“眼前一黑”或“突然胸口闷闷的”的经历或许并不陌生。可能是在拥挤的地铁里,可能是猛然站起身的瞬间。大多数人会将其归结为“没休息好”或“低血糖”。
对于45岁的张先生(化名)来说,这个看似不起眼的症状,却在两个月内两次将他推向险境。当他带着一沓“一切正常”的检查报告,走进上海百汇医院心内科李延林医生的诊室时,一场抽丝剥茧的“探案”才刚刚开始……
惊魂时刻:高速公路上的短暂失忆
张先生是一位典型的职场中坚力量,工作繁忙,压力不小。故事的开端,发生在一个再普通不过的工作日早高峰。
他正坐车前往单位,突然一阵强烈的眩晕感袭来,伴随着胸口闷痛和一身冷汗。好在这种感觉来得快去得也快,不到3分钟就恢复了。张先生以为是最近熬夜加班太累,并未放在心上。
然而,4天后,相似的情景再次上演,这次情况更为严重——他短暂地失去了意识。虽然很快醒来,但这足以让他和家人吓出一身冷汗。
看病未果:常规检查下的“风平浪静”
“必须查清楚!”张先生第一时间去医院进行了全面检查。然而,结果出乎意料:心电图、心肌酶谱、BMP生化指标都正常,胸部CT也未见异常。
“检查都好的,可能是一时性的,回去多休息,注意观察和随访。”医生的话让张先生既庆幸又隐隐不安。身体明明发出了强烈的“信号”,为什么仪器却显示“风平浪静”?这种矛盾感,让他感到自己像走在一片迷雾之中。
本着对自己高度负责的态度,张先生托人找到了上海百汇医院心内科的李延林医生,希望能得到一个更深入、更专业的解答。
拨云见日:心内科专家的“侦探式”问诊
在李延林医生的诊室里,张先生的“迷雾”终于开始有了散去的迹象。
李医生并没有只看报告,而是像一位经验丰富的“侦探”,仔细复盘了那两次“案发经过”。
“晕厥的原因很复杂,可能是神经源性的、反射性的,也可能是心源性的。”李医生耐心地分析道,“但您有一个非常关键的细节——晕厥时伴有明显的胸痛和出汗。这让我高度怀疑,问题的根源可能在心脏。”
李医生解释,最常见的血管迷走神经性晕厥通常不伴随器质性病变,但张先生的症状指向了更危险的“心源性晕厥”,即心脏因缺血或心律失常突然“罢工”,导致大脑供血不足。
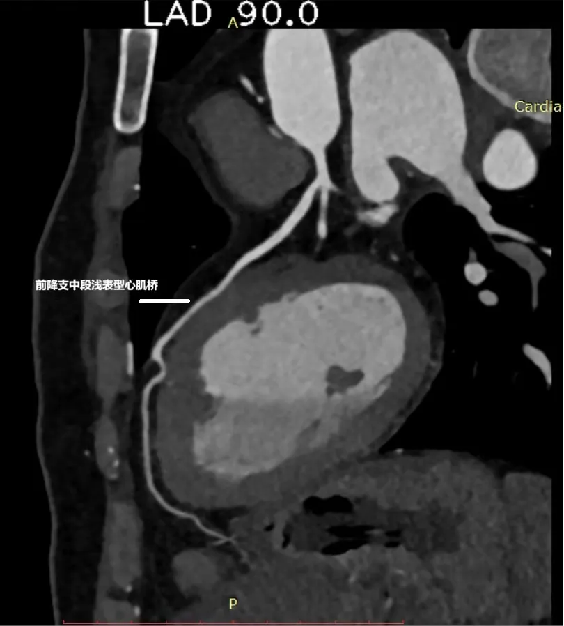
基于这个判断,李医生为张先生安排了更精确的检查——冠状动脉CT造影。结果果然发现了异常:患者的右冠状动脉起源异常且纤细,同时左前降支存在“心肌桥”。

图 | 冠脉CTA图像1:右冠状动脉异常起源于左冠窦

图 |冠脉CTA图像2:提示右冠状动脉开口及近段狭窄

图 | 冠脉CTA图像3:前降支中段浅表型心肌桥
这还不是最终答案。为了看得更清楚,李医生建议张先生住院接受冠状动脉导管造影——这是诊断冠脉问题的“金标准”。
真相大白:被“肌肉”压迫的生命通道
造影的结果,让一切豁然开朗。
“我们发现,问题主要出在那个心肌桥上。”李医生指着影像解释道,“CT上看到的心肌桥,在造影下原形毕露。在心脏收缩时,这段覆盖在血管上的心肌会像承受“紧箍咒”一样,用力挤压下面的血管,压迫程度最高时甚至达到了90%!”

影像素材 | 患者冠状动脉造影1:前降支中段长段心肌桥,收缩期管腔重度狭窄

影像素材 | 患者冠状动脉造影2:前降支中段长段心肌桥,收缩期管腔重度狭窄

影像素材 | 患者冠状动脉造影3:右冠起源于左冠窦,较细小,开口及近段狭窄不明显,血流TIMI3级
这就能解释为什么常规检查会“失灵”了。心电图捕捉的是静态或负荷状态下的心电信号,普通CT也难以观察到动态的血管压迫。而李延林医生通过层层递进的精准检查,终于找到了那个在“动态”下才暴露出来的“元凶”——因严重心肌桥压迫导致的心肌缺血,进而诱发了晕厥。
张先生的病因,终于从“云深不知处”到“云开雾散月分明”。
云开雾散:个性化的治疗方案”
诊断明确,接下来的治疗便有了方向。对于心肌桥,治疗方案有药物和手术多种选择。考虑到张先生年仅四十多岁,发作次数不多,李延林医生为他制定了个性化的药物治疗方案:使用β受体阻滞剂和钙拮抗剂,来减慢心率,减轻心脏收缩时对血管的压迫,从而改善心肌供血。

治疗一个月后,当李医生再次随访时,电话那头的张先生声音里满是轻松:“李医生,这一个多月感觉特别好,再也没有出现过胸痛和眼前发黑的情况,太感谢您了!”
从两次惊魂的濒危感,到回归正常的工作生活,张先生终于走出了那片笼罩他的迷雾。

医生警示“晕厥”需警惕
李延林 心血管内科
副主任医师
心血管内科执行主任
导管室副主任
语言:普通话,英语
张先生的案例非常典型,它告诉我们:晕厥,绝不是“休息一下就好”的小事,它可能是身体发出的最严厉的警告。
晕厥的病因复杂,常需多系统分析,主要分为以下几类:
反射性晕厥(最常见):
比如血管迷走神经性晕厥。常因紧张、疼痛、久站、闷热环境(如拥挤的地铁)诱发。这是由于植物神经调节失衡,导致血压心率突然下降,脑供血不足。
李医生提醒: 有此类困扰的朋友,日常生活中要学会“慢一点”。尤其是早上起床或久蹲站起时,记得“三个半分钟”:醒后在床上躺半分钟,坐起半分钟,双腿下垂在床边坐半分钟,然后再下地活动。避免憋尿后急速排尿,因为腹压骤降也易诱发晕厥。
心源性晕厥(最危险):
由心脏器质性疾病引起,如张先生这样的严重心肌桥导致的心肌缺血,或是心律失常、心肌病等。这类晕厥往往来得突然,预后较差,是必须优先排查的病因。
李医生提醒: 如果晕厥发生在活动中或情绪激动时,伴有胸痛、心悸、出汗,或者有心脏病家族史,务必高度警惕,需要到心内科进行深入检查,如动态心电图、心脏超声甚至冠脉CTA/造影。
神经源性晕厥:
由脑卒中、短暂性脑缺血发作(TIA)等脑血管问题引起。

李医生提醒您,若您突发“晕厥”症状,请及时就医。
*如需咨询或预约服务,欢迎致电百汇医疗 400-819-6622 了解